Actualitate
Local
Eveniment-Social
Economic Local
Național
Magazin
Opinii
Informații utile
Breaking News
Breaking News
Maia Sandu, mesaj tranșant după scandalul de la Eurovision 2026, unde Moldova a dat doar 3 puncte României: ,,Nu trebuie să permitem ca cineva să deterioreze relațiile dintre țările noastre…”
Actualitate
Local
Eveniment-Social
Economic Local
Național
Magazin
Opinii
Informații utile
Despre noi
Echipa editorială
Politică Editorială
Contact
Politica de Confidentialitate
Politica de Cookie
Ediția Digitală
Poza
3
/
5
Înapoi la articol
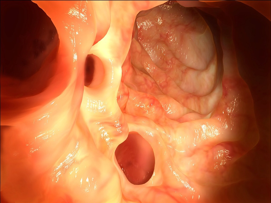
Ce sunt hemoroizii trombozați? Iată cum se formează și ce simptome prezintă
Hemorozii trombozați sunt, de fapt, hemoroizi externi, care sunt caracterizați de cheaguri de sânge, formate în interiorul umflăturilor.
Actualitate
Local
Eveniment-Social
Economic Local
Național
Magazin
Opinii
Informații utile
Despre noi
Echipa editorială
Politică Editorială
Contact
Politica de Confidentialitate
Politica de Cookie
Ediția Digitală
×
Caută