Actualitate
Local
Eveniment-Social
Economic Local
Național
Magazin
Opinii
Informații utile
Breaking News
Breaking News
Crimă șocantă în Vaslui! Un adolescent de 16 ani este acuzat de omor și incendierea victimei. Ce a făcut imediat după faptă
Actualitate
Local
Eveniment-Social
Economic Local
Național
Magazin
Opinii
Informații utile
Despre noi
Echipa editorială
Contact
Politica de Confidentialitate
Politica de Cookie
Ediția Digitală
Poza
5
/
5
Înapoi la articol
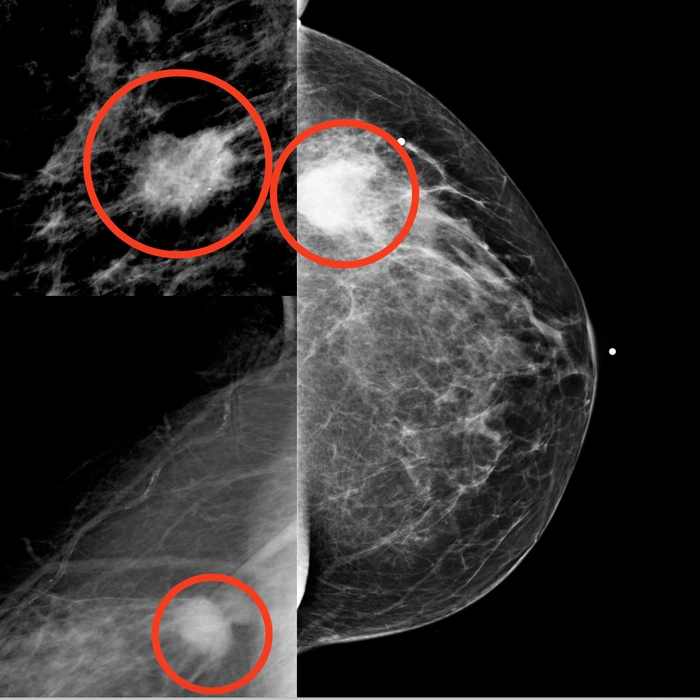
Leacuri bătrânești pentru nodul la sân. Cum puteți scăpa de această problemă
7
Actualitate
Local
Eveniment-Social
Economic Local
Național
Magazin
Opinii
Informații utile
Despre noi
Echipa editorială
Contact
Politica de Confidentialitate
Politica de Cookie
Ediția Digitală
×
Caută