Actualitate
Local
Eveniment-Social
Economic Local
Național
Magazin
Opinii
Informații utile
Breaking News
Breaking News
Incendiu puternic la o locuință din Pașcani, pe strada Fântânele. Focul a izbucnit după miezul nopții – VIDEO
Actualitate
Local
Eveniment-Social
Economic Local
Național
Magazin
Opinii
Informații utile
Despre noi
Echipa editorială
Contact
Politica de Confidentialitate
Politica de Cookie
Ediția Digitală
Poza
2
/
5
Înapoi la articol
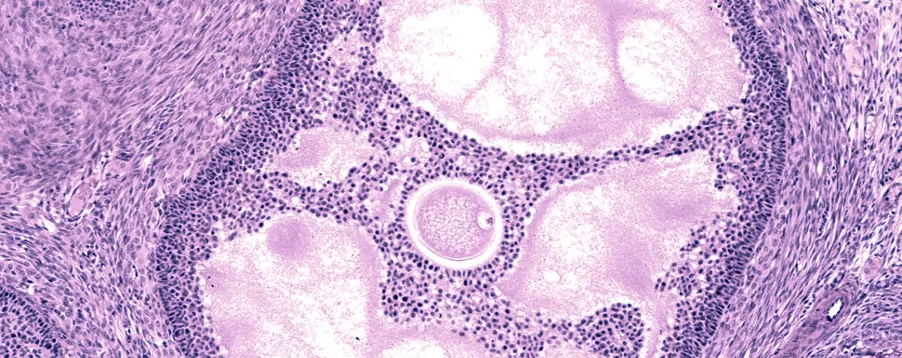
Tot ce trebuie să știi despre foliculii ovarieni. Află care este rolul lor în organism!
Actualitate
Local
Eveniment-Social
Economic Local
Național
Magazin
Opinii
Informații utile
Despre noi
Echipa editorială
Contact
Politica de Confidentialitate
Politica de Cookie
Ediția Digitală
×
Caută