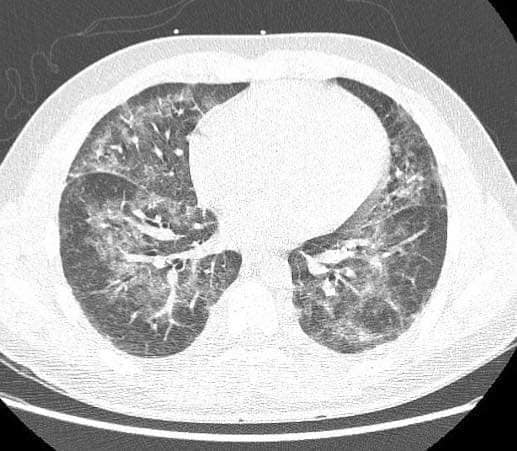
Așa arată plămânii unui tânăr de 20 de ani care în fiecare dimineață bea cafeaua alături de un dispozitiv de vapat. Acesta a ajuns la spital cu dureri și cu senzație de sufocare. Medicii se confruntă cu o boală care face ravagii în rândul tinerilor. Substanțele din țigările electronice și din lichidele pentru vaping cauzează leziuni pulmonare foarte grave.
Boala care face ravagii în rândul tinerilor ce vapează, în atenția medicilor
:format(webp)/https://bzi.ro/wp-content/uploads/2023/12/boala-tineri-tigarile-electronice-2.jpeg)
Așa arată plămânii unui tânăr de 20 de ani care în fiecare dimineață la cafea, își aprindea și o țigară electronică
Evali este boala asociată E-cigarette și produselor de vapat, iar medicii trag un semnal de alarmă pentru că afecțiunea pulmonară pe care o provoacă poate fi fatală. Aceasta este postarea pe care un medic din București a făcut-o pe rețelele de socializare, îngrozit de ce a putut să vadă pe radiografia pulmonară a tânărului pacient.
„Bună dimineața la cafeluță și la țigară electronică. Aceștia sunt plămânii unui tip în vârstă de 20 de ani, care fumează țigară electronică. A ajuns la spital cu dureri și cu senzația de sufocare. Boala este una relativ nouă și se numește Evali, adică E-cigarette or Vaping Product, Use Associated Lung Injury. Adică leziuni pulmonare provocate de substanțele din țigările electronice și din lichidele pentru vaping. Se și moare din cauza lor. Deci când vă mai spune cineva de la IQOS sau Glo că țigările electronice sunt sănătoase, să-i arătați pozele astea și să-i spuneți să plimbe ursul.
La fel și când vedeți firme sau site-uri unde scrie fumează sănătos. Nu există fumat sănătos. Și mai dramatic este că țigările electronice sunt foarte populare printre minori. Industria tutunului știe asta și se bucură. E tot ce-și dorește: cât mai mulți dependenți de nicotină, care să o îmbogățească și mai mult. O altă problemă este că cele mai vehemente reacții la postarea asta sunt de la fumătorii care încearcă să se convingă că e bine să fumezi sau de la vânzătorii de țigări electronice. Realitatea e fix asta din imagini”, a transmis Robin Simion pe rețelele de socializare.
Utilizarea țigărilor electronice este denumită vaping. Deși sună inofensiv, acestea conțin nicotină, particule ultrafine care pot fi inhalate profund în plămâni, arome, precum diacetil, substanță care cauzează boli pulmonare grave.
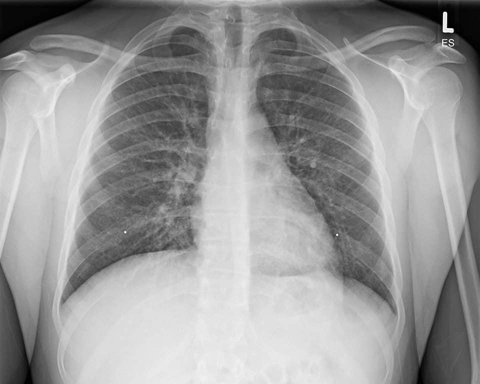
Țigările electronice conțin peste 7 mii de substanțe chimice nocive
:format(webp)/https://bzi.ro/wp-content/uploads/2023/12/boala-tineri-tigarile-electronice-3.jpeg)
Evali, este boala asociată E-cigarette și produselor de vapat, medicii trag un semnal de alarmă pentru că afecțiunea poate fi fatală
Țigara electronică este un dispozitiv cu baterie care funcționează prin încălzirea unui lichid ce se transformă în aerosol, prin intermediul căruia utilizatorul trage în piept nicotină. Lichidul este obținut din substanțe chimice și conține diferite arome și cantități considerabile de nicotină
„E-cigarette or Vaping Product Use-Associated Lung Injury (Evali) este o afecțiune medicală gravă în care plămânii unei persoane devin deteriorați din cauza substanțelor conținute în e-țigări și produse de vapare. Simptomele includ tuse, durere în piept, dificultăți de respirație, febră, greață, vărsături, diaree, dureri abdominale, pierdere în greutate și amețeli. Diagnosticul Evali este, în principal, un diagnostic de excludere a altor boli, iar tratamentul se bazează pe recomandările experților și depinde de gravitatea bolii. Majoritatea pacienților cu Evali se îmbunătățesc sub tratament cu doze mari de corticosteroizi sistemici. În plus, pacienții cu cazuri mai severe vor avea nevoie de spitalizare și, deoarece pot fi incapabili să respire singuri, pot necesita oxigen suplimentar sau ventilație mecanică”, subliniază prof. dr. Traian Mihăescu, medic primar pneumolog.
Aceste produse conțin compuși organici volatili, peste 7.000 de substanțe chimice care cauzează cancer, dar și metale grele, precum nichel, staniu și plumb. Cu toate acestea, consumatorii consideră această modalitate ca fiind fumat sănătos, ceea ce scandalizează medicii.
„Principalul factor de risc pentru dezvoltarea Evali este utilizarea curentă sau anterioară a unui dispozitiv de vaping, în special a celor care conțin THC (Tetrahydrocannabinol). Potrivit Centrelor de Control al Bolilor din SUA, peste 80 la sută dintre persoanele spitalizate din cauza Evali au raportat utilizarea de produse de vaping care conțin THC, deși mulți au declarat, de asemenea, că au folosit produse care conțin nicotină”, susține prof. dr. Traian Mihăescu.
Bolile generate de utilizarea țigărilor electronice sunt definite, în prezent, cu termenul de Evali, din limba engleză, care înseamnă boală pulmonară legată de utilizarea țigărilor electronice
„Alți factori de risc pentru Evali includ vârsta sub 30 de ani, identificarea ca grup rasial, etnic, altul decât cel alb, și utilizarea de produse contrafăcute care conțin THC, comercializate sub denumirea Dank Vapes. Pacienții cu afecțiuni medicale cronice, inclusiv boli cardiace, boli pulmonare cronice și diabet, precum și creșterea vârstei ar putea prezenta un risc mai mare de morbiditate și mortalitate mai mare în rândul unor pacienți Evali”, adaugă prof. dr. Traian Mihăescu în legătură cu boala care face ravagii în rândul tinerilor.
Greseala. Aceasta este boala Darwin. Se manifesta prin selectie naturala. E cool si trendy, face sens sa ai expertiza in acest areal. Luati, copilasi, serviti cu as la deschidere. Urmeaza tatuajele, ca si alea is naturale de numa’.
Mda , de unde au copiii bani? De la parintii care muncesc in strainatate ca sa le ofere un trai mai bun? Suuuper!!! Copiii raman acasa, nesupravegheati, sau ma rog „supravegheati” de bunici batrani si uite unde ajung! O fi bine, o fi rau!?!?!?!?
Raul nu este o abstractie, indica o persoana, Satana, ingerul cel rau care se opune lui Dumnezeu. Multi au facut ca aceasta generatie sa creada ca diavolul este un mit, o figura, o idee a raului, o credinta medievala, Dar diavolul exista si trebuie sa luptam impotriva lui. Diavolul nu-l iubeste pe om, ci vrea sa-l insele si sa-l posede prin seductiile sale rele, se ascunde deghizat in bine, iar actiunea lui impinge omenirea in abisul raului si al ruinei cu ceea ce ofera omului.
Prostia se plătește.
Nu tot ce e nou, e și neapărat mai bun decât ceea ce este vechi. Acum va fi la moda nu doar vapatul ci și boala asociata. Si e mai cool să o ai acum când nu o are nimeni, decât să o ai atunci când o au toți. Ca să dovedești că ești la moda.