Prima pagină » Sanatate » Remedii naturiste » Cum sa faceți singuri bomboane pentru dureri în gât

Cum sa faceți singuri bomboane pentru dureri în gât

18 dec. 2019, 10:11,
în Sanatate

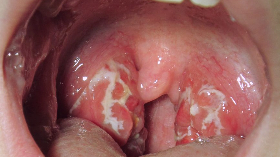
Scapa de dureri în gât cu aceste bomboane! Mâncărime în gât, amigdalele umflate, chiar și puțină febră… Când aveti angină, reacționați rapid cu bomboane de supt cu scorțișoară, facute in casă.

Cunoscută încă din Antichitate, scorțișoara este un remediu excelent pentru durerile de gât datorită unei activități antimicrobiene puternice dată de bogăția sa în cinamaldehidă. De îndată ce gâtul începe să va furnice, suptul de pastile cu scorțișoară ajută la lupta împotriva infecției. Proprietățile sale antiinflamatorii ajută, de asemenea, la calmarea iritației gâtului și a tractului respirator.

Scapa de dureri în gât cu aceste bomboane!

Scorțișoara acționează ca un anestezic local, iar unele studii arată că este mai eficientă decât lidocaina. Aceste efecte sunt îmbunătățite dacă combinați scorțișoara cu mierea, un remediu benefic pentru calmarea durerii.

Există două varietăți principale de scorțișoară pe piață. Cel din China (Cinnamomum cassia) care costă mai puțin decât cea Ceilan (Cinnamomum verum), cunoscuta și sub numele de „scorțișoară reală”, dar care conține cumarina, o substanță aromatică naturală dăunătoare ficatului.

Pulberea de scorțișoară și bățul se păstrează uscate, protejate de lumină și într-un recipient etanș.

Reteta de bomboane cu scortisoara

Toarnă 50 g miere, 50 g zahăr și 35 ml apă într-o cratiță.
Se încălzește la foc mic până la 145°C. Dacă nu aveți un termometru de gătit, înmuiați o lingură în tigaia de zahăr gătit, apoi imediat într-un bol cu ​​apă rece. Luați zahărul cu degetele: preparatul trebuie să aibă un aspect crocant precum caramelul și nu ar trebui să mai curgă.
Se lasă să se răcească câteva clipe, apoi se adaugă o linguriță de scorțișoară pudră sau 3 picături de ulei esențial. Amestecați și turnați preparatul în forme de bomboane sau așezați mici picături din preparat pe o foaie de copt.
Lăsați bomboanele să se întărească la temperatura camerei și păstrați-le la frigider într-un recipient etanș, până la 4 săptămâni.

Donație lunară
Donează lunar pentru susținerea jurnalismului de calitate

Donație singulară
Donează o singură dată pentru susținerea jurnalismului de calitate

Articol recomandat
FOTO Ilie Bolojan refuză să demisioneze! Premierul amenință cu sistarea marilor proiecte, inclusiv cu blocarea construcțiilor de autostrăzi!
Ilie Bolojan refuză să demisioneze! Premierul amenință cu sistarea marilor proiecte, inclusiv cu blocarea construcțiilor de autostrăzi, dacă este schimbat din funcție și vine un alt guvern. Ilie Bolojan refuză să demisioneze! Premierul României, Ilie Bolojan, a făcut unul dintre cele mai dure avertismente care vizează fondurile europene și proiectele de investiții aflate în derulare. […]
Ilie Bolojan refuză să demisioneze! Premierul amenință cu sistarea marilor proiecte, inclusiv cu blocarea construcțiilor de autostrăzi!

Lasă un răspuns

Adresa ta de email nu va fi publicată. Câmpurile obligatorii sunt marcate cu *

`
`
BZI - Editia Digitală - pdf
28 aprilie 2026
28 aprilie 2026