Prima pagină » Sanatate » Sfatul medicului » Cum se formeaza placa bacteriana
Cum se formeaza placa bacteriana

Cum se formeaza placa bacteriana

09 sept. 2013, 12:00,
în Sanatate
a:3:{s:7:"site_id";i:7;s:6:"old_id";i:32715;s:8:"site_url";s:15:"sanatate.bzi.ro";}

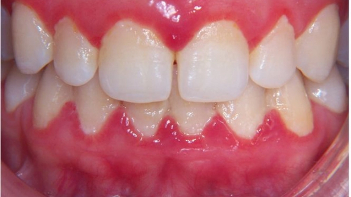
Placa bacteriana este un sistem microbian care se acumuleaza pe suprafata dintilor si a tesuturilor din jurul gurii si este rezultatul resturilor alimentare.

Placa si tartrul sub linia gingiei, nu poate fi văzute. Acumularea lor acolo, poate duce la boli parodontale. Cand semnele parodontale indică faptul că placa este intarita, mărește volumul și conectivitatea tesutului gingival a dintilor.

Placa si tartrul sunt daunatoare pentru dinti, deoarece acestea promovează formarea cariilor dentare, erodand smaltul dintilor. Atunci cand placa s-a intarit, tartrul, are o suprafata aspra, ceea ce face mai ușoara atasarea la dinti a particulelor de alimente.

Obiceiurile nocive in formarea placii sunt legate de ceea ce mancam, dar, de asemenea, modul în care de multe ori pe zi, ne menținem igiena dentara.

Consumul de ciocolata, tort de caramel, nuga, diverse jeleuri, dulciuri sau consumul de bauturi racoritoare aderă la suprafața dinților, fiind alimentele de bază pentru bacterii. Ele consuma si digera zahărul, se transformă în acid, deterioreaza dintii si duce la formarea placii.

Nimeni altcineva nu poate vedea, dacă va spalati pe dinti de doua ori pe zi, insa dintii dvs vor simti asta. Bacteriile iubesc glucidele simple, cum ar fi zahărul.

Morcovi, mere, castraveți și multe alte legume și fructe sunt bune pentru dinti. In plus față de o gustare bogata in fructe si legume, limitarea consumului de alimente procesate și gătite va protejeaza de obezitate, boli de inima si cancer. Pentru a păstra dinții sanatosi, spălați-i bine de două ori pe zi.

Tehnica de periaj este foarte importantă, deoarece este necesar sa va asigurati că ați ajuns cu peria pe toate suprafetele dintilor.

Fiti atenti, ce mancati, unele fructe cu piei pot aluneca si se pot bloca în spațiul interdentar, cum ar fi mandarine, portocale si grapefruit. Semințele din fructele de padure se pot, de asemenea, bloca între dinți și trebuie să fie eliminate imediat.

Imbunătățirea îngrijirii orale și îndepărtarea plăcii în timp util poate fi realizata prin utilizarea atei dentare. Cei mai multe medici stomatologi recomanda indepartarea placii bacteriene si a tartrului de doua sau de mai multe ori pe an.

 

Donație lunară
Donează lunar pentru susținerea jurnalismului de calitate

Donație singulară
Donează o singură dată pentru susținerea jurnalismului de calitate

Articol recomandat
FOTO Nicușor Dan s-a umplut de penibil la Consiliul Păcii de la Washington! A fost tras la o parte de Secret Service în timp ce voia să vorbească cu Donald Trump! – VIDEO
Nicușor Dan s-a umplut de penibil la Consiliul Păcii de la Washington, după ce a fost tras la o parte de Secret Service în timp ce voia să vorbească cu Donald Trump. După ce președintele american Donald Trump l-a numit „prim-ministrul României” pe Nicușor Dan, șeful statului a fost umilit încă o dată la Consiliul […]
Nicușor Dan s-a umplut de penibil la Consiliul Păcii de la Washington! A fost tras la o parte de Secret Service în timp ce voia să vorbească cu Donald Trump! – VIDEO

Lasă un răspuns

Adresa ta de email nu va fi publicată. Câmpurile obligatorii sunt marcate cu *

`
`
BZI - Editia Digitală - pdf
21 februarie 2026
21 februarie 2026