Prima pagină » Sanatate » Boli si tratamente » Carii: sistemul imunitar ar putea fi responsabil

Carii: sistemul imunitar ar putea fi responsabil

23 nov. 2019, 18:06,
în Sanatate

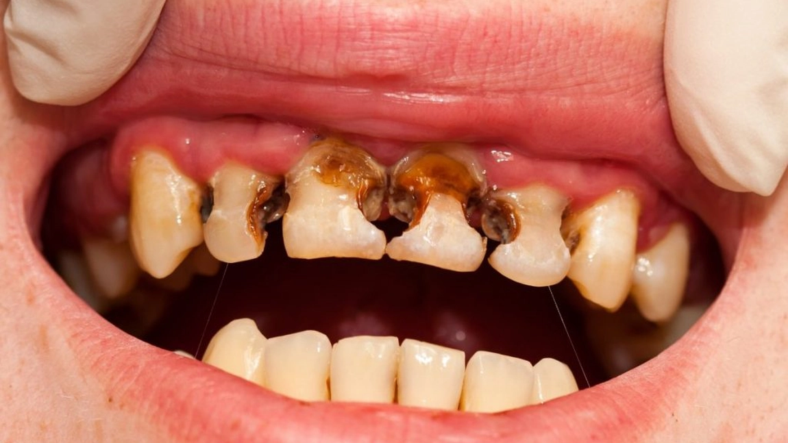
Sistemul imunitar e raspunzator de carii. Oamenii de știință au demonstrat că organismul, apărându-se, provoacă, de asemenea, pagube. Astfel, se stabilește o legătură între sistemul imunitar și apariția cariilor.

Neutrofilele combat bacteriile, dar daunează

Până în prezent, cariile au fost asociate cu prezența bacteriilor în gură, cum ar fi Streptococcus mutans, dar un studiu din Canada arată o legătură mai surprinzătoare: „Că sistemul nostru imunitar joacă un rol în dezvoltarea cariilor; este uimitor. Cu toate acestea, acum avem dovezi”, a spus Yoav Finer de la Universitatea din Toronto (Canada).

Când bacteriile atacă gură, neutrofilele, care alcătuiesc 65% din celulele albe din sânge, încearcă să o apere. În timp ce, de obicei, distrug bacteriile nedorite, de asemenea, ele fac si pagube. Profesorul ilustrează: „Este ca și cum ai folosi un ciocan pentru a ucide o muscă pe un perete”.

Sistemul imunitar e rasunzator de carii. O explicație pentru reapariția cavităților

Lucrările oamenilor de știință au arătat că neutrofilele cauzează deteriorarea dinților în doar câteva ore. Și asta nu este totul: enzimele lor ar aborda rășinile compozite folosite pentru a sigila dinții. Iată, în sfârșit, explicația reapariției frecvente a cavităților.

Sistemul imunitar e raspunzator de carii

O degradare este o infecție: bacteriile distrug treptat dintele. Mai întâi atacă smalțul, apoi dentina. În această etapă, pe măsură ce mulți nervi trec prin dentină, se pot resimți dureri la rece, fierbinte, dulce sau acid. Pentru a te feri de aceasta, o singură soluție: periați dinții de la o vârstă fragedă și, de-a lungul vieții, de cel puțin 2 ori pe zi, timp de 2 până la 3 minute, având grijă să periați toate fețele dinților.

Donație lunară
Donează lunar pentru susținerea jurnalismului de calitate

Donație singulară
Donează o singură dată pentru susținerea jurnalismului de calitate

Lasă un răspuns

Adresa ta de email nu va fi publicată. Câmpurile obligatorii sunt marcate cu *

`
`
BZI - Editia Digitală - pdf
25 decembrie 2025
25 decembrie 2025